Ministerio de Ciencia e Innovación

Noticias

  • CIBERER
    Una nueva clasificación del mosaicismo genético ayudará a mejorar el diagnóstico y tratamiento médico de las enfermedades asociadas
    21/07/2020
    Una nueva clasificación del mosaicismo genético ayudará a mejorar el diagnóstico y tratamiento médico de las enfermedades asociadas
  • CIBERFES
    Interrumpir el tiempo sedentario con pequeños períodos de actividad contribuye a reducir el riesgo de fragilidad
    21/07/2020
    Interrumpir el tiempo sedentario con pequeños períodos de actividad contribuye a reducir el riesgo de fragilidad
  • CIBERBBN
    Nuevos recubrimientos basados ​​en polímeros para prevenir infecciones asociadas a implantes
    21/07/2020
    Nuevos recubrimientos basados ​​en polímeros para prevenir infecciones asociadas a implantes
  • CIBERDEM
    Asocian alteraciones en autofagia en músculo con diabetes y otras enfermedades metabólicas
    21/07/2020
    Asocian alteraciones en autofagia en músculo con diabetes y otras enfermedades metabólicas
  • CIBERER
    Proponen un fármaco que bloquea la actividad mitocondrial y la angiogénesis como nueva terapia contra el cáncer
    20/07/2020
    Proponen un fármaco que bloquea la actividad mitocondrial y la angiogénesis como nueva terapia contra el cáncer
  • CIBEREHD
    Identifican un gen asociado al mantenimiento de la barrera protectora intestinal, factor clave en la enfermedad de Crohn
    20/07/2020
    Identifican un gen asociado al mantenimiento de la barrera protectora intestinal, factor clave en la enfermedad de Crohn
  • CIBERBBN
    Desbloqueo del cerebro con la nueva tecnología de grafeno
    20/07/2020
    Desbloqueo del cerebro con la nueva tecnología de grafeno
  • CIBERESP
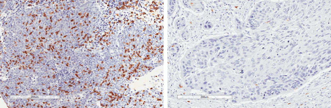
    Encuentran características inmunes comunes en las metástasis de pulmón hacia las que dirigir futuros tratamientos
    20/07/2020
    Encuentran características inmunes comunes en las metástasis de pulmón hacia las que dirigir futuros tratamientos
  • CIBERSAM
    Un estudio alerta de la necesidad de una profunda transformación en la atención en salud mental tras la pandemia por COVID-19
    17/07/2020
    Un estudio alerta de la necesidad de una profunda transformación en la atención en salud mental tras la pandemia por COVID-19
  • CIBEREHD
    Describen la presencia de células T de memoria residentes en el hígado humano
    17/07/2020
    Describen la presencia de células T de memoria residentes en el hígado humano
  • CIBEROBN
    Un monográfico recoge las últimas actualizaciones sobre el concepto de alimentos ultraprocesados y sus efectos sobre la salud
    16/07/2020
    Un monográfico recoge las últimas actualizaciones sobre el concepto de alimentos ultraprocesados y sus efectos sobre la salud
  • CIBERONC
    Nuevo biomarcador de cáncer de pulmón podría beneficiar a algunos pacientes de un tratamiento empleado en otros tumores
    16/07/2020
    Nuevo biomarcador de cáncer de pulmón podría beneficiar a algunos pacientes de un tratamiento empleado en otros tumores
  • CIBERBBN
    Desarrollan apósitos liberadores de biocidas de origen natural para tratar heridas tópicas y evitar resistencias a antibióticos
    14/07/2020
    Desarrollan apósitos liberadores de biocidas de origen natural para tratar heridas tópicas y evitar resistencias a antibióticos
  • CIBERER
    Profundizan en la comprensión de la función del complejo IV en las patologías mitocondriales
    14/07/2020
    Profundizan en la comprensión de la función del complejo IV en las patologías mitocondriales
  • CIBERONC
    Descifradas las causas moleculares que determinan la evolución clínica del linfoma
    14/07/2020
    Descifradas las causas moleculares que determinan la evolución clínica del linfoma
  • CIBERESP
    Los niveles elevados de ácidos grasos saturados y trans se relacionan con una mayor densidad mamaria, factor de riesgo para el cáncer de mama
    14/07/2020
    Los niveles elevados de ácidos grasos saturados y trans se relacionan con una mayor densidad mamaria, factor de riesgo para el cáncer de mama
  • CIBERSAM
    Identifican conductas simples que pueden proteger de ansiedad y depresión durante confinamiento por COVID-19
    10/07/2020
    Identifican conductas simples que pueden proteger de ansiedad y depresión durante confinamiento por COVID-19
  • CIBERER
    Generan un modelo del síndrome de Netherton utilizando células de piel de donantes sanos modificadas con CRISPR/Cas9
    10/07/2020
    Generan un modelo del síndrome de Netherton utilizando células de piel de donantes sanos modificadas con CRISPR/Cas9
  • CIBERSAM
    Investigan el papel de las redes perineuronales en trastornos como esquizofrenia y desorden bipolar
    09/07/2020
    Investigan el papel de las redes perineuronales en trastornos como esquizofrenia y desorden bipolar
  • CIBERBBN
    Un nuevo nanofármaco bloquea las células tumorales de la leucemia mieloide aguda sin dañar las sanas
    09/07/2020
    Un nuevo nanofármaco bloquea las células tumorales de la leucemia mieloide aguda sin dañar las sanas
  • CIBEROBN
    Mejorar el estilo de vida de personas con sobrepeso u obesidad podría ayudar también a sus familiares
    09/07/2020
    Mejorar el estilo de vida de personas con sobrepeso u obesidad podría ayudar también a sus familiares
  • CIBERESP
    Los diabéticos reducen en casi la mitad el riesgo de hospitalización por gripe si se vacunan
    08/07/2020
    Los diabéticos reducen en casi la mitad el riesgo de hospitalización por gripe si se vacunan
  • CIBEREHD
    Descifran un nuevo mecanismo de progresión de la fibrosis en enfermedades hepáticas crónicas
    08/07/2020
    Descifran un nuevo mecanismo de progresión de la fibrosis en enfermedades hepáticas crónicas
  • CIBERESP
    The Lancet publica los resultados del estudio de seroprevalencia ENE-COVID
    07/07/2020
    The Lancet publica los resultados del estudio de seroprevalencia ENE-COVID