Ministerio de Ciencia e Innovación

Relacionan el recuento de neutrófilos en sangre con la pérdida de tejido cerebral en enfermedades mentales

Institut de Recerca Sant Joan de Déu Sant Joan de Deu/CIBER | miércoles, 3 de octubre de 2018

Una investigación  realizada por Christian Stephan-Otto, investigador del CIBER de Salud Mental (CIBERSAM) en el Institut de Recerca Sant Joan de Déu Sant Joan de Deu (IRSJD) y Christian Núñez -investigador del IRSJD- entre otros, relaciona por primera vez la presencia de células inmunes en la sangre y la disminución de la materia gris cerebral, y como esto influye en la clínica de los pacientes con un Primer Episodio Psicótico (PEP). 

El estudio observacional analiza la relación del recuento de leucocitos (en especial los neutrófilos) con el volumen del tejido cerebral de los pacientes con un PEP, en comparación con pacientes control. Además, también se analizan las repercusiones clínicas del recuento de neutrófilos en los síntomas de la psicosis.

"Actualmente, una de las últimas líneas de investigación en salud mental trabaja sobre la hipótesis que los procesos inflamatorios (citoquinas y micróglia) podrían influir en la clínica de las enfermedades mentales. Aun así, nunca antes se había estudiado el papel de las células inmunes del sistema periférico en el cerebro de estos pacientes", afirma Christian Stephan-Otto.

Esta investigación forma parte de una iniciativa multicéntrica en la que participan 12 grupos del CIBERSAM y está coordinada por Miquel Bernardo y Mara Parellada, investigadores del CIBERSAM en el Hospital Clínic de Barcelona y en el Hospital Gregorio Marañón de Madrid, respectivamente.

Los neutrófilos son un tipo de célula del sistema inmunológico periférico y su función principal es participar en los procesos inflamatorios, por ejemplo eliminando partículas u organismos invasores. Tradicionalmente ha habido poco interés en conocer el posible rol de estas células con la esquizofrenia y otras enfermedades mentales, ya que la barrera hematoencefálica restringe la penetración de las células inmunes periféricas al cerebro. En determinadas circunstancias, como en un ictus, hay mecanismos que afectan la barrera hematoencefálica permitiendo que los neutrófilos la puedan travesar.

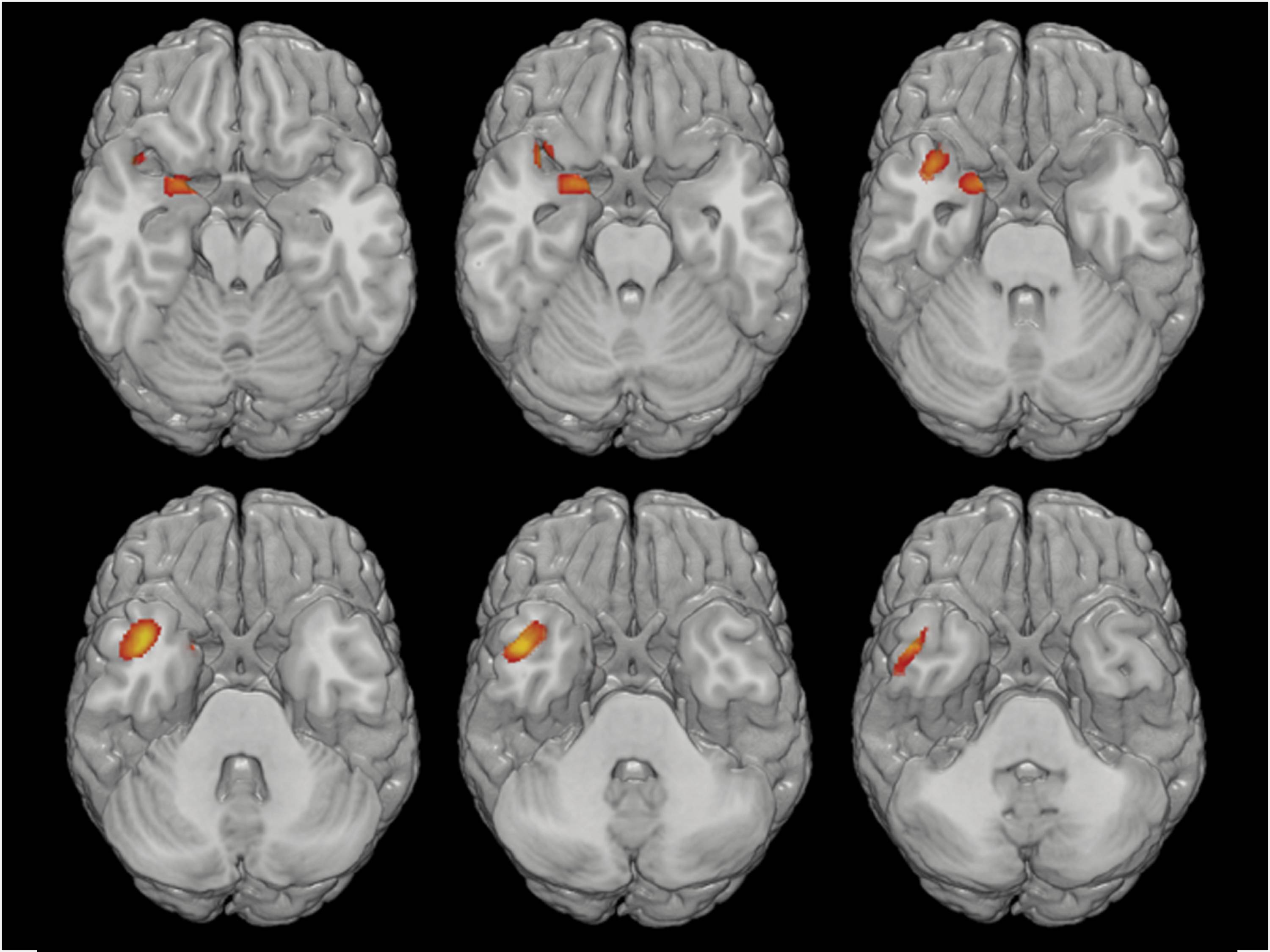
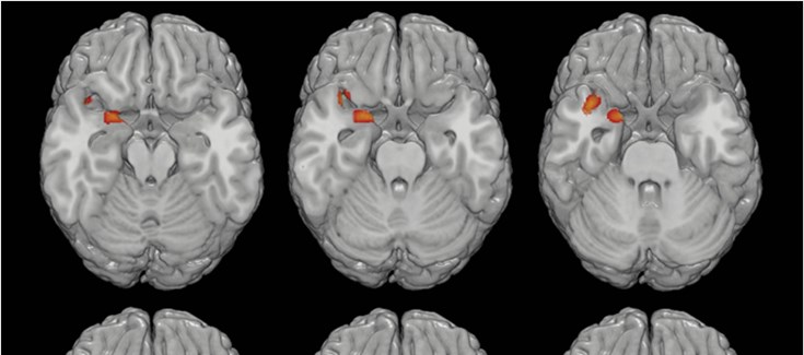
Según este estudio, el recuento de neutrófilos es más alto en los pacientes con PEP en comparación con los controles sanos y se evidencia una pérdida de materia gris asociada a esta cantidad, principalmente en las zonas del tálamo, ínsula, corteza entorrinal y giro temporal.

Además, este recuento anormal parece también estar relacionado significativamente con un empeoramiento en síntomas de la enfermedad tan importantes como las alucinaciones y la conducta de abolición.

Los resultados del estudio ponen de manifiesto el papel de la desregulación inmune periférica en la enfermedad mental. A raíz de otras investigaciones, los autores proponen la presencia de neutrófilos en el tejido cerebral como biomarcador de la severidad de la psicosis, ya que parece ser uno de los principales desencadenantes de la perdida de volumen cerebral y del consiguiente declive clínico y cognitivo en estas enfermedades. También se abre la puerta a posibles tratamientos basados en bloquear la entrada de neutrófilos en el cerebro, aunque será necesario investigar más a fondo en esta línea para evaluar la viabilidad de este tipo de intervenciones.

Artículo de referencia:

Núñez C, Stephan-Otto C, Usall J, Bioque M, Lobo A, González-Pinto A, Pina-Camacho L, Vieta E, Castro-Fornieles J, Rodriguez-Jimenez R, Butjosa A, Janssen J, Cabrera B, Parellada M, Bernardo M; PEPs group. Neutrophil Count Is Associated With Reduced Gray Matter and Enlarged Ventricles in First-Episode Psychosis. Schizophr Bull. 2018 Aug 10 [E-pub]. https://doi.org/10.1093/schbul/sby113